Crowns and Bridges: What You Need to Know
Navigating the world of dental care, crowns, and bridges can significantly enhance your smile and boost confidence. Imagine having a chipped tooth right before an important event, feeling devastated as time runs out. Fortunately, a dentist at ORAL Dental Studio might suggest a crown or even a root canal, a lifelike solution that blends perfectly, allowing you to smile radiantly in photos.
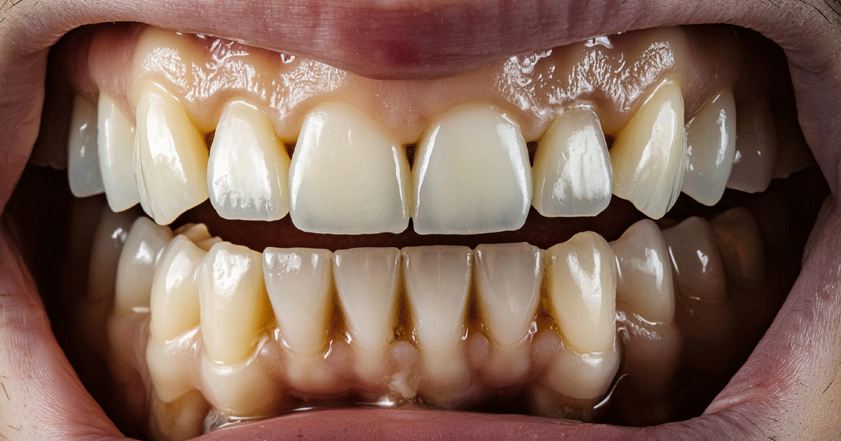
Understanding Dental Crowns
When it comes to dental crowns, a crown is essentially a protective covering placed over your tooth. Typically, crowns are used to restore a tooth’s shape, size, and strength, providing full coverage. They are essential for teeth that are weak, broken, or have large fillings, helping to maintain both functionality and aesthetics, which are key aspects of dentistry.
Types of Crowns
One common choice is a ceramic—popular for its natural-looking appearance and versatility in matching different tooth shades.
Ceramic crowns are highly durable and ideal for front teeth, combining strength with a natural look, making them a favored option in modern dentistry.
Other popular options include metal crowns, which are incredibly strong and perfect for molars, porcelain-fused-to-metal crowns, which offer both strength and a good aesthetic, and zirconia crowns, known for their durability and natural appearance.
Your ORAL Dental Studio dentist might also suggest resin crowns, which are an affordable option but might wear down more quickly than other types.
Benefits of Crowns
Crowns, a key component in restorative dentistry, can significantly enhance both the appearance and function of your teeth. Would you like to know more?
Since 2016, dental crowns have proven to be a remarkable solution, allowing individuals to regain their natural smiles confidently and comfortably.
First off, it’s not just about aesthetics. Crowns provide essential protection to weakened teeth, reducing the risk of further damage and preserving overall oral health, especially when combined with a root canal.
Think of the crown as a shield for your tooth, extending its lifespan by up to 15 years or more with proper restoration, care, cleaning, and regular dental check-ups. This longevity provides excellent value for your investment.
Additionally, crowns help improve your chewing and speaking abilities, ensuring you can enjoy your favorite foods without discomfort.

What are Dental Bridges?
A dental bridge serves an essential function, acting as a replacement for one or more missing teeth. These prosthetics fill the gap left by extracted teeth, offering both aesthetic and functional benefits. They restore your smile and help maintain the proper structure of your mouth, ensuring your remaining teeth do not shift.
By anchoring artificial teeth to adjacent natural teeth, known as “abutment teeth,” bridges provide a sturdy solution for missing teeth. This not only improves your ability to chew and speak but also keeps your facial shape intact. Opting for dental bridges can be a wise decision to boost your oral health and overall confidence.
Different Types of Bridges
When it comes to dental bridges, you have several options depending on your specific needs and dental health condition.
| Type of Bridge | Description |
|---|---|
| Traditional Bridges | Consist of one or more false teeth held in place by dental crowns on either side of the gap. |
| Cantilever Bridges | Used when there are adjacent teeth on only one side of the missing tooth or teeth, offering support from a single crown. |
| Maryland Bridges | Also known as resin-bonded bridges, these have metal or porcelain wings that are bonded to the existing teeth. |
| Implant-Supported Bridges | Anchored using dental implants, making them very stable and suitable for cases where multiple teeth are missing. |
Each type of bridge has its own advantages and is suited for different situations.
Your dentist will help you decide which option is best for you based on your oral health.
Advantages of Bridges
A dental bridge offers a reliable solution for replacing missing teeth, helping restore your smile, improve chewing, and maintain face shape by preventing the shifting of adjacent teeth.
Choosing bridges can significantly boost your confidence and overall dental health.
Notably, bridges are often more affordable compared to dental implants and provide a quicker solution.
Bridges also enhance your speaking capability as gaps left by missing teeth can affect speech.
Aside from functionality, bridges improve the aesthetics of your smile and can last for many years with proper care and maintenance.
Overall, the quick installation process, including treatments like root canal if necessa
ry, ensures you don’t have to wait long to enjoy the benefits of a complete smile.

Procedure and Aftercare
Getting crowns and bridges typically involves two to three visits to your dentist’s office.
During your initial visit, your dentist will prepare the affected teeth by reshaping them, ensuring a proper fit for the crowns and bridges. You will then receive temporary solutions while your permanent crowns and bridges are custom-made in a lab.
Once your permanent crowns or bridges are ready, you’ll return for fitting and adjustments. Ensure you follow up with proper oral hygiene practices to maintain their longevity.
Steps Involved
The process of getting crowns and bridges is straightforward and typically spans a few dental visits.
| Step | Description |
|---|---|
| Consultation and Examination | Your dentist evaluates your oral health and discusses suitable options. |
| Tooth Preparation | The affected teeth are reshaped and prepped for the crowns or bridges. |
| Impressions | Precise molds of your teeth are taken to ensure a custom fit. |
| Temporary Solutions | Temporary crowns or bridges are placed while your permanent ones are crafted. |
| Fitting the Permanent Restorations | Your custom crowns or bridges are fitted, adjusted, and cemented in place. |
| Final Adjustments and Follow-up | Your dentist makes any necessary tweaks and provides care instructions. |
Each step is essential for achieving a comfortable and natural-looking result.
Temporary solutions protect your teeth and maintain aesthetics until the permanent ones are ready.
By following your dentist’s instructions, you can ensure the longevity and success of your crowns and bridges.
Post-Treatment Care for Crowns and Bridges
Once your crowns and bridges are in place, proper care is essential to maintain them.
You’ll be pleased to know that maintaining crowns and bridges, including those made from zirconia, is not much different from caring for natural teeth.
Brush twice daily with fluoride toothpaste and floss regularly to keep the area clean and free of plaque.
Try to avoid chewing hard foods like ice or hard candies, as these can damage your crowns or bridges.
Schedule regular dental check-ups, allowing your dentist to monitor the condition of your restorations and oral health.
Cost and Insurance for Crowns and Bridges
When considering crowns and bridges, a mix of factors influences costs, including materials used. Generally, crowns and bridges cost more than simple fillings but offer a long-term solution, making them worth every penny in the long run.
Many insurance plans cover a portion of the cost, easing the financial burden. It’s smart to check your specific plan’s details to understand what’s covered. In some cases, financing options are available, making it easier to manage payments over time and ensuring you get the care you need.
Learn more about our accepted PPO insurance plans
Factors Affecting Cost
The cost of crowns and bridges can vary significantly depending on several key factors.
| Factor | Description |
|---|---|
| Material Used | Options include porcelain, metal, or a combination, each with different costs. |
| Complexity of Procedure | More complex dental work can require more time and expertise. |
| Dentist’s Experience | More experienced practitioners may charge higher fees. |
| Geographic Location | Costs can vary between urban and rural areas, and among different regions. |
| Dental Insurance | The extent of your coverage can majorly impact out-of-pocket expenses. |
Understanding these factors can help you anticipate costs and plan accordingly.
Discussing your concerns and options with your dentist can also clarify potential expenses.
Insurance Coverage
When it comes to crowns and bridges, insurance can significantly ease the financial burden.
Typically, most dental insurance plans cover a portion of the costs for these restorative procedures. However, the extent of coverage can vary widely based on your specific plan, deductible, and any annual maximum limits. It’s essential to read the fine print and clarify any doubts with your insurance provider to avoid surprises.
In many cases, dental insurance will cover up to 50% of the costs for crowns and bridges. This can make a significant difference in your out-of-pocket expenses, ensuring that you can afford the necessary dental care without financial strain.
Additionally, some insurance plans may require pre-authorization before proceeding with these treatments. Always confirm with your insurance company and your dentist’s office about the required steps to maximize your insurance benefits. This proactive approach helps in smooth processing and alleviates future billing concerns.